Tratamientos orthodontic
Periodoncia en Sevilla y Dos hermanas

Tratamiento de Periodoncia en Sevilla y Dos Hermanas

En Orthodontic, somos especialistas en periodoncia en Sevilla y Dos Hermanas. Nuestro tratamiento avanzado está diseñado para recuperar la salud de tus encías, previniendo enfermedades periodontales como la gingivitis y asegurando una sonrisa saludable. Contamos con tecnología de vanguardia y un equipo de periodoncistas en Sevilla altamente capacitados para ofrecerte la mejor atención personalizada.

Tratamiento de periodoncia en Sevilla

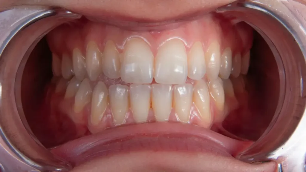
¿Qué es la periodoncia?

La periodoncia es la especialidad odontológica encargada del diagnóstico y tratamiento de las enfermedades que afectan las encías y los tejidos que sostienen los dientes. Esta disciplina es crucial para prevenir la pérdida de dientes debido a problemas como la gingivitis y la periodontitis, los cuales pueden generar daño irreversible en las encías y huesos.

Ventajas del tratamiento periodontal

Mantenimiento periodoncia en Sevilla

Mantenimiento periodontal efectivo

El mantenimiento periodontal regular es esencial para evitar la progresión de las enfermedades periodontales. Con un diagnóstico temprano y una intervención oportuna, podemos prevenir la pérdida de dientes y mejorar tu calidad de vida.

Tratamiento integral de periodoncia en Dos Hermanas

Tratamiento integral de la gingivitis

El tratamiento de la gingivitis en nuestra clínica dental en Sevilla se basa en técnicas eficaces para reducir la inflamación y el sangrado de las encías, restaurando la salud periodontal en pocos días.

Prevención a largo plazo de la periodoncia en Sevilla

Prevención a largo plazo

Gracias a nuestra experiencia y tecnología, diseñamos planes de prevención y seguimiento que garantizan la salud de tus encías a largo plazo.

Estética y funcionalidad en Sevilla

Estética y funcionalidad

Con el tratamiento adecuado, no solo mejoramos la salud de tus encías, sino que también ayudamos a mantener la estética de tu sonrisa, integrando la ortodoncia estética cuando es necesario.

Tratamiento periodontal en Orthodontic

En nuestra clínica dental Nervión y Dos Hermanas, seguimos un proceso totalmente personalizado para el tratamiento de la periodontitis y la gingivitis:

1
Estudio inicial y diagnóstico digital
2
Planificación del tratamiento periodontal
3
Tratamiento de la gingivitis y/o periodontitis
4
Seguimiento y mantenimiento periódico
5
Evaluación continua de la salud de las encías

Nuestro equipo de dentistas en Nervión se encarga de acompañarte durante todo el proceso, garantizando resultados efectivos.

Tratamiento periodontal en Dos Hermanas

¿Por qué elegir Orthodontic para tu tratamiento periodontal?

  • Especialistas en encías y periodoncia Sevilla
  • Tecnología avanzada y diagnóstico preciso
  • Clínicas dentales en Nervión y Dos Hermanas
  • Atención personalizada con un equipo profesional experto en tratamientos periodontal
  • Soluciones estéticas y funcionales para tu salud bucal

Contacta con nosotros

Si buscas un periodoncista en Sevilla, Nervión o Dos Hermanas, en Orthodontic te ofrecemos el mejor tratamiento para cuidar de tus encías. Pide tu cita y recupera la salud de tu sonrisa.

Preguntas frecuentes sobre periodoncia

El tratamiento periodontal se realiza con anestesia local, por lo que la mayoría de los pacientes no experimentan dolor durante el procedimiento. Las molestias posteriores son leves y controlables con analgésicos.

El tiempo de tratamiento varía según el estado de la enfermedad periodontal. En casos de gingivitis, el tratamiento puede ser más rápido, mientras que la periodontitis puede requerir un enfoque más intensivo y prolongado.

Otros tratamientos
Contacto
Aceptación Política Privacidad

Información básica en protección de datos.- Conforme al RGPD y la LOPDGDD, Clínica Dental Orthodontic tratará los datos facilitados, con la finalidad de contestar las dudas y/o quejas planteadas a través del presente formulario y facilitar la información solicitada. Siempre que nos lo autorice previamente, enviaremos información relacionada con la actividad/ los productos/ los servicios ofrecidos por Clínica Dental Orthodontic. Podrá ejercer, si lo desea, los derechos de acceso, rectificación, supresión, y demás reconocidos en la normativa mencionada. Para obtener más información acerca de cómo estamos tratando sus datos, acceda a nuestra política de privacidad.

 

solicita una
cita con nosotros

955 675 436 - 954 980 493
Tu salud dental es nuestra prioridad. Solicitar una cita con nosotros es el primer paso hacia una sonrisa radiante y una atención dental de calidad. ¡Estamos listos para cuidar de ti! Completa el formulario o llámanos para reservar tu cita hoy mismo.
Scroll al inicio