Tratamientos orthodontic
Implantes dentales en Sevilla - Recupera tu sonrisa con Orthodontic

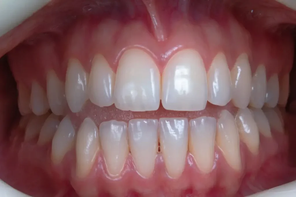
Implantes dentales en Sevilla y Dos Hermanas

En Orthodontic, ofrecemos tratamientos de implantes dentales en Sevilla y Dos Hermanas, con opciones como implantes en un día y cirugía guiada por ordenador. Nuestro equipo de dentistas en Sevilla y Dos Hermanas se asegura de brindarte una solución eficaz para recuperar tu sonrisa.

implantes-dentales-dos-hermanas

¿Por qué elegir los implantes dentales?

Los implantes dentales son una opción avanzada para reemplazar dientes perdidos, ofreciendo una solución duradera y estética. Si buscas implantes dentales en Sevilla, nuestros dentistas expertos están listos para ayudarte con un tratamiento personalizado y seguro.

implante-en-un-dia-sevilla

Implantes dentales
en un día

En nuestra clínica dental Sevilla, ofrecemos el tratamiento de implantes en un día, para que puedas recuperar tu sonrisa en tiempo récord. Usamos tecnología avanzada para realizar el tratamiento de manera precisa y sin dolor.

implantes-no-invasivos

Cirugía de implantes mínima invasiva

Nuestra técnica de cirugía de implantes mínima invasiva reduce el tiempo de recuperación y el dolor. Si buscas un dentista en Sevilla especializado en implantes, te ofrecemos este procedimiento con la mayor precisión y comodidad.

sedacion-consciente-dos-hermanas

Sedación consciente para implantes

Ofrecemos sedación consciente durante los tratamientos de implantes dentales, lo que asegura que el proceso sea cómodo y sin molestias. Si tienes dudas sobre el tratamiento, nuestros dentistas de Nervión te ofrecerán todas las respuestas.

implantes-injerto-hueso

Injertos de hueso

En algunos casos, es necesario realizar un injerto de hueso para asegurar el éxito de los implantes dentales en Sevilla. Nuestros expertos en implantes dentales te guiarán a través de este procedimiento si necesitas este tratamiento.

endodoncia-orthodontic-sevilla

Endodoncia avanzada

En nuestra clínica dental en Sevilla y Dos Hermanas, ofrecemos un servicio especializado de endodoncia, un procedimiento clave para conservar piezas dentales cuya pulpa o nervio ha sido afectado por caries, fracturas o infecciones profundas.

implante-all-in-four-sevilla

All on 6 y All on 4

Los procedimientos All on 6 y All on 4 son una excelente opción para pacientes que necesitan múltiples implantes. En nuestra clínica dental en Nervión, contamos con los especialistas adecuados para realizar estos procedimientos de manera eficiente y segura.

Nos gusta salvar dientes en Sevilla

Periodoncia avanzada

En nuestra clínica dental en Sevilla y Dos Hermanas ofrecemos tratamientos especializados de periodoncia, fundamentales para prevenir y tratar enfermedades de las encías como la gingivitis y la periodontitis, protegiendo la salud de tus dientes a largo plazo.

implantes-de-por-vida-sevilla

Implantes garantizados de por vida

En Orthodontic Sevilla, te ofrecemos implantes dentales garantizados de por vida. Nuestro objetivo es brindarte soluciones duraderas que restauren completamente tu sonrisa. Si buscas un dentista en Dos Hermanas o en Nervión, contamos con tecnología de última generación.

Nos gusta salvar dientes

En Orthodontic apostamos por una odontología conservadora. Nuestro objetivo en los tratamientos de periodoncia es salvar tus dientes naturales siempre que sea posible, tratando la enfermedad desde su origen y evitando extracciones innecesarias para que mantengas tu sonrisa sana durante más tiempo.

implante-dental-orthodontic

¿Por qué elegir Orthodontic para tu tratamiento
de implantes dentales?

Somos la clínica dental Orthodontic, especializada en implantes dentales y ortodoncia en Sevilla y Dos Hermanas. Con nuestros dentistas expertos y un enfoque personalizado, garantizamos el mejor tratamiento para tu salud dental.

Tratamientos orthodontic

¿Cómo encontrarnos?

Contamos con clínicas dentales en Sevilla y Dos Hermanas. Si necesitas un dentista en Nervión o en Dos Hermanas, no dudes en contactarnos para una consulta personalizada.

Contacta con nosotros

Si necesitas más información sobre implantes dentales en Sevilla o Dos Hermanas, contacta con nosotros. Nuestros dentistas especializados te ofrecerán una evaluación detallada de tus necesidades.

Preguntas frecuentes sobre los implantes dentales

Los implantes dentales son una solución moderna y duradera para reemplazar los dientes perdidos. Se componen de un tornillo de titanio que se inserta en el hueso maxilar o mandibular, sobre el cual se coloca una corona dental. Son estéticamente naturales, funcionales y proporcionan una solución a largo plazo para quienes han perdido dientes.

El tiempo del tratamiento varía según el tipo de implante y el caso específico, pero por lo general, el proceso puede durar entre 3 y 6 meses. Esto incluye la colocación del implante y el tiempo necesario para que el hueso cicatrice y se adhiera al implante (osteointegración). Con nuestros implantes en un día, puedes recuperar tu sonrisa de manera más rápida y efectiva.

La colocación de implantes dentales se realiza bajo anestesia local, lo que significa que no sentirás dolor durante el procedimiento. Además, ofrecemos opciones de sedación consciente para garantizar que el tratamiento sea lo más cómodo posible. Después del procedimiento, es posible que sientas algunas molestias, pero suelen ser leves y se controlan fácilmente con analgésicos.

En casos donde no hay suficiente hueso, realizamos injertos óseos para asegurar que haya suficiente estructura para soportar el implante dental. Nuestros expertos te guiarán en este procedimiento y te aseguraremos que obtendrás el mejor resultado posible para tu salud dental y estética.

Otros tratamientos
Contacto
Aceptación Política Privacidad

Información básica en protección de datos.- Conforme al RGPD y la LOPDGDD, Clínica Dental Orthodontic tratará los datos facilitados, con la finalidad de contestar las dudas y/o quejas planteadas a través del presente formulario y facilitar la información solicitada. Siempre que nos lo autorice previamente, enviaremos información relacionada con la actividad/ los productos/ los servicios ofrecidos por Clínica Dental Orthodontic. Podrá ejercer, si lo desea, los derechos de acceso, rectificación, supresión, y demás reconocidos en la normativa mencionada. Para obtener más información acerca de cómo estamos tratando sus datos, acceda a nuestra política de privacidad.

 

solicita una
cita con nosotros

955 675 436 - 954 980 493
Tu salud dental es nuestra prioridad. Solicitar una cita con nosotros es el primer paso hacia una sonrisa radiante y una atención dental de calidad. ¡Estamos listos para cuidar de ti! Completa el formulario o llámanos para reservar tu cita hoy mismo.
Scroll al inicio